025-87183621
服务项目 服务项目

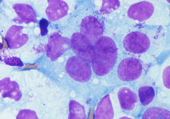
改良吉姆萨染色

改良吉姆萨染色是一种在医学和生物学领域广泛应用的染色技术,用于对细胞和组织进行染色,以便在显微镜下更清晰地观察其形态和结构。以下是其相关介绍:原理吉姆萨染料由天青、伊红等多种成分组成。细胞中的不同成分对染料的亲和力不同,从而被染成不同的颜色。例如,细胞核中的 DNA 与碱性染料亲和力较强,会被染成紫红色;


全国咨询电话:025-87183621

服务详情

改良吉姆萨染色是一种在医学和生物学领域广泛应用的染色技术,用于对细胞和组织进行染色,以便在显微镜下更清晰地观察其形态和结构。以下是其相关介绍:


原理

吉姆萨染料由天青、伊红等多种成分组成。细胞中的不同成分对染料的亲和力不同,从而被染成不同的颜色。例如,细胞核中的 DNA 与碱性染料亲和力较强,会被染成紫红色;细胞质中的 RNA 与酸性染料亲和力较强,常被染成淡蓝色或粉红色。通过这种差异染色,可以清晰地区分细胞的不同结构。

改良方法及优点

改良方法:在传统吉姆萨染色的基础上,对染色液的配方、染色时间、温度等条件进行优化和改进。例如,可能会调整染料的浓度、添加某些辅助试剂,或者改变染色的步骤顺序等。

优点:改良后的吉姆萨染色方法通常具有更好的染色效果,能够更清晰地显示细胞的细微结构,提高图像的对比度和分辨率。同时,改良方法可能会缩短染色时间,提高工作效率,并且对细胞的损伤更小,能够更好地保持细胞的原有形态和结构。

操作步骤(以血液涂片染色为例)

涂片制备:取一滴新鲜血液滴在载玻片一端,用推片将血液均匀地推成薄层,自然干燥。

固定:将干燥的血涂片浸入甲醇中固定 3 - 5 分钟,然后自然干燥。

染色:将改良吉姆萨染液滴加在血涂片上,覆盖整个涂片,染色 10 - 15 分钟。

冲洗:用缓冲液缓慢冲洗涂片,去除多余的染液,直至涂片颜色适中,然后自然干燥。

观察:将染色后的涂片放在显微镜下,先用低倍镜观察,找到合适的视野后,再换用高倍镜或油镜进行详细观察。




在线留言

Online message

姓名

电话

留言内容

联系我们

Contact us
南京东极生物科技有限公司
扫一扫关注
  • 地址:南京市六合区新港湾路166号协合智谷产业园16-3栋
  • 电话:139-1599-6230   025-87183621
  • 邮箱:sales@dj-cro.com
  • 网址:http://cloud.dj-cro.com
Copyright © 2023 南京东极生物科技有限公司版权所有 All Rights Reserved.
  • 公司联系方式
    QQ
  • 公司微博
    微博
  • 网站首页
    首页
  • 公司联系电话
    电话
  • 返回
    返回顶部