025-87183621
服务项目 服务项目

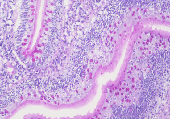
PAS 染色

PAS 染色又称过碘酸雪夫染色,是一种常用的组织化学染色方法,以下是关于它的详细介绍:基本原理:过碘酸能使细胞内的多糖乙二醇基氧化成二醛,再与 Schiff 氏液的无色品红结合,形成紫红色复合物,定位于胞浆上。染色步骤脱蜡与水化:将组织切片放入二甲苯中脱蜡,然后依次经过梯度酒精进行水化,使切片处于水溶性环境,以


全国咨询电话:025-87183621

服务详情


PAS 染色又称过碘酸雪夫染色,是一种常用的组织化学染色方法,以下是关于它的详细介绍:



基本原理:过碘酸能使细胞内的多糖乙二醇基氧化成二醛,再与 Schiff 氏液的无色品红结合,形成紫红色复合物,定位于胞浆上。


染色步骤

脱蜡与水化:将组织切片放入二甲苯中脱蜡,然后依次经过梯度酒精进行水化,使切片处于水溶性环境,以便后续试剂能与组织成分充分接触。

高碘酸氧化:将切片放入高碘酸溶液中进行氧化反应,一般持续 5-10 分钟,使多糖类物质中的羟基氧化成醛基。

Schiff 试剂染色:把氧化后的切片放入 Schiff 试剂中,醛基与 Schiff 试剂中的亚甲基蓝发生反应,通常染色 15-30 分钟,形成紫红色产物。

分化与漂洗:用硫酸亚锡溶液对切片进行分化,去除多余的染色物质,然后用自来水漂洗,使切片背景清晰,便于观察。

苏木精复染:用苏木精对切片进行复染,使细胞核呈现蓝色,与被染成紫红色的多糖物质形成对比,利于对细胞结构和病变的观察。

脱水、透明与封片:将切片依次经过梯度酒精脱水、二甲苯透明,最后用中性树胶封片,以便长期保存和在显微镜下观察。





在线留言

Online message

姓名

电话

留言内容

联系我们

Contact us
南京东极生物科技有限公司
扫一扫关注
  • 地址:南京市六合区新港湾路166号协合智谷产业园16-3栋
  • 电话:139-1599-6230   025-87183621
  • 邮箱:sales@dj-cro.com
  • 网址:http://cloud.dj-cro.com
Copyright © 2023 南京东极生物科技有限公司版权所有 All Rights Reserved.
  • 公司联系方式
    QQ
  • 公司微博
    微博
  • 网站首页
    首页
  • 公司联系电话
    电话
  • 返回
    返回顶部