网站首页
关于我们
公司简介
平台展示
组织架构
荣誉资质
知识产权
发展历程
企业文化
服务项目
测序分析服务
细胞生物学实验
分子生物学实验
动物学实验
组织病理学实验
临床前CRO
类器官技术服务
合作流程
新闻资讯
公司动态
行业资讯
专业知识
联系我们
025-87183621
网站首页
关于我们
公司简介
平台展示
组织架构
荣誉资质
知识产权
发展历程
企业文化
服务项目
测序分析服务
细胞生物学实验
分子生物学实验
动物学实验
组织病理学实验
临床前CRO
类器官技术服务
合作流程
新闻资讯
公司动态
行业资讯
专业知识
联系我们
测序分析服务
细胞生物学实验
分子生物学实验
动物学实验
组织病理学实验
临床前CRO
类器官技术服务
首页
>>
服务项目
>>
组织病理学实验
组织病理学实验
测序分析服务
细胞生物学实验
分子生物学实验
动物学实验
组织病理学实验
临床前CRO
类器官技术服务
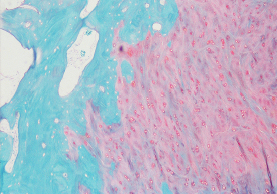
番红固绿染色
番红-固绿染色番红-固绿染色(软骨)在涉及关节软骨及软骨下骨的形态学研究中,常需联合使用多种染料以显示其组织学结构。其中,起源于上世纪60年代的番红O(safranin O)-固绿···
more
免疫荧光染色
免疫荧光染色用荧光抗体示踪或检查相应抗原的方法称荧光抗体法;用已知的荧光抗原标记物示踪或检查相应抗体的方法称荧光抗原法。这两种方法总称免疫荧光技术,因为荧光色素···
more
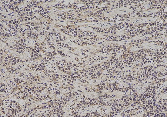
免疫组化
技术原理免疫组化,是应用免疫学基本原理——抗原抗体反应,即抗原与抗体特异性结合的原理,通过化学反应使标记抗体的显色剂(荧光素、酶、金属离子、同位素)显色来确定组织···
more
电镜检测
技术原理超微病理是运用电子显微镜高分辨力,看清原来在光学显微镜下看不清或看不到的细胞膜、细胞质内的各种细胞器和细胞核的细微结构及其病理变化,并对其进行研究的技术···
more
PAS 染色
PAS 染色又称过碘酸雪夫染色,是一种常用的组织化学染色方法,以下是关于它的详细介绍:基本原理:过碘酸能使细胞内的多糖乙二醇基氧化成二醛,再与 Schiff 氏液的无色品红···
more
阿利新蓝染色
以下是关于阿利新蓝染色的详细介绍:基本原理阿利新蓝是一种阳离子染料,分子结构中的异硫脲基具有中度碱性,使得染料带阳离子。组织内的酸性粘液物质含有阴离子基团,如羧···
more
首页
<<
1
2
3
4
5
···
2/6
>>
尾页
在线留言
Online message
姓名
电话
留言内容
提交信息
联系我们
Contact us
南京东极生物科技有限公司
扫一扫关注
地址:南京市六合区新港湾路166号协合智谷产业园16-3栋
电话:139-1599-6230 025-87183621
邮箱:sales@dj-cro.com
网址:http://cloud.dj-cro.com
友情链接:
Copyright © 2023 南京东极生物科技有限公司版权所有 All Rights Reserved.
苏ICP备13041166号-5
XML地图
QQ
微博
首页
电话
返回顶部